5813 Centre Ave, Pittsburgh, PA 15206

Restore Your Smile with Expert Care at Omni Dental
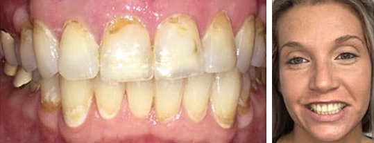
At Omni Dental, we are passionate about helping our patients regain confidence through their smiles. We understand that chipped, stained, crooked, or missing teeth can affect your social, emotional, and professional life. That’s why we offer a comprehensive range of services designed to give you the smile you deserve!
Our Commitment Starts With Listening
At Omni Dental, we know that every patient is unique. That’s why we dedicate the time and attention needed to understand your goals, concerns, and vision for your smile. By getting to know you, our doctors can create a personalized roadmap to achieve your ideal smile. Whether it’s veneers, Invisalign®, or teeth whitening, we’ll ensure you love your results and feel confident showing off your smile!
Our Cosmetic Dentistry Services
Porcelain Veneers
Porcelain veneers enhance the color, shape, and alignment of your teeth. They are custom-crafted to create a natural-looking, confident smile that feels completely natural.
Learn More
Invisalign®
Invisalign® uses clear, removable aligners to straighten teeth comfortably and discreetly. This modern orthodontic solution allows you to improve your smile without metal brackets or wires.
Learn More
Porcelain Crowns
A dental crown restores and protects damaged teeth. At Omni Dental, our custom porcelain crowns are strong, natural-looking, and beautifully matched to your smile.
Learn More
Teeth Whitening
Professional teeth whitening safely removes deep stains and discoloration to brighten your smile. This treatment delivers faster, more noticeable results than over-the-counter whitening options.
Learn More



