5813 Centre Ave, Pittsburgh, PA 15206

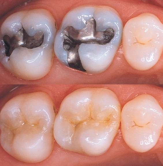
Modern White Fillings for Strong, Beautiful Teeth
Why do dentists recommend filling cavities? And what happens if a cavity is left untreated?
The answer to both questions is simple: decay and infection. When cavitiesβalso known as dental cariesβare not treated, the decay continues to spread. Over time, it can penetrate deeper layers of the tooth, leading to infection that may affect surrounding teeth, the gums, or even spread into the bloodstream.
Thatβs why prompt treatment is essential. Fortunately, treating a cavity doesnβt mean you have to settle for a noticeable silver filling. At Omni Dental, we offer composite fillings made from durable, tooth-colored materials that blend seamlessly with your natural teeth. These fillings effectively stop decay while keeping your smile looking natural and healthy.
